
年末年始のご案内
当院は、年内26日金曜日まで。年明けは1月5日月曜日より通常通り診療開始いたします。
よろしくお願いいたします。

ご縁ある皆様のために・・・
札幌市南区澄川にて、
ご縁ある皆様の口腔内環境をより良くすることが出来るよう、努めさせて頂きます。
当院は、皆様が出来る限りリラックスして治療を受けて頂けるよう心掛けております。
虫歯、歯周病治療はもちろんの事、定期検診やクリーニングなど、予防治療にも重点をおいております。
歯のことなら、桜山さん!と言って頂けるよう、これからも努力して参ります。
よろしくお願いいたします。
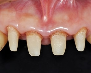
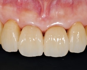
医院努力により、格安なインプラント治療を提供
失った歯を、自分の歯のように取り戻す治療がインプラント治療。
最先端の治療方法で快適ですが、治療費が高いというのが難点です。
当院では、ひとりでも多くの患者様にインプラント治療をおすすめできるよう、格安にて提供しております。
経験豊富な歯科医師が手術いたします。
手術も院長の友田をはじめ、難症例には「札幌インプラントクリニック」の院長が対応いたします。
インプラント治療はもちろん、総合的に患者様のお口の健康が保たれ向上していくよう
サポートさせて頂ければと思っております。

QRコードを読み込みホームページを表示
急患随時・予約優先 電話番号:(011)820-8888
住所
〒005-0004
札幌市南区澄川4条7丁目3-27-2F
お車でお越しの方
ビル裏手に専用駐車場をご用意しております。
診療内容
歯科・小児歯科・歯周病・審美歯科・各種入れ歯・インプラント
診療時間
平日: 9:30 ~ 19:30
お昼休み: 12:30 ~ 14:00
休診日: 土曜・日曜・祝祭日
一部自費診療ではカード払いも可能です。![]()

